0
Skip to Content
About Us
Products
All Products
Hemorrhagic Stroke
Acute Ischemic Stroke
Intracranial Atherosclerosis
Events
Conferences
MindShare
Case Library
News
Contact
Open Menu
Close Menu
About Us
Products
All Products
Hemorrhagic Stroke
Acute Ischemic Stroke
Intracranial Atherosclerosis
Events
Conferences
MindShare
Case Library
News
Contact
Open Menu
Close Menu
About Us
Folder:
Products
Back
All Products
Hemorrhagic Stroke
Acute Ischemic Stroke
Intracranial Atherosclerosis
Folder:
Events
Back
Conferences
MindShare
Case Library
News
Contact
Next
Next
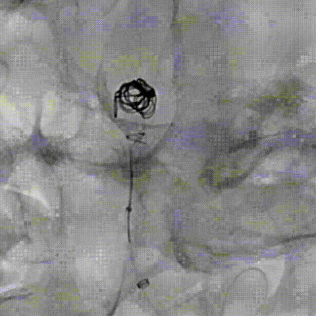
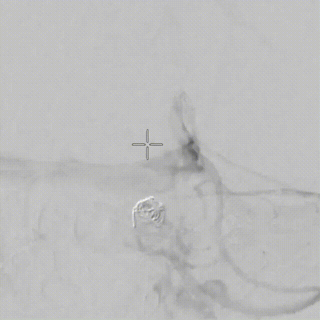
Tubridge Plus Case 2